
治療例 CASES
乳び胸
2026年2月12日(木)
今回は乳び胸についてご紹介します。手術の画像がありますので苦手な方はご遠慮ください。
【概要】
乳び胸とは、乳びが胸の中に溜まってしまう状態のことを言います。乳びとは腸間から吸収され
た脂肪を豊富に含むリンパ液のことを言います。
乳びは腸間膜リンパ節→内臓リンパ本幹→乳び槽→胸管→静脈角の順に流れ、血管に合流して全身
循環へと入ります。
乳び槽:リンパ管の合流部位で袋状になっている
胸管:乳び槽より頭側に走る太いリンパ管
【症状】
胸の中に液体が溜まってしまうので、肺が膨らまずに呼吸が荒くなり、元気が低下します。
【原因】
一次性と二次性があります。
・一次性乳び胸:特発性乳び胸(原因不明)
・二次性乳び胸:右心不全、腫瘍、血栓など様々
一次性は若齢から中齢の柴犬で多いです。
【診断】
乳び胸と診断して、一次性なのか二次性なのかを判断するためには様々な検査をする必要があります。
・胸部レントゲン検査:胸水の有無を確認します。
・胸水検査:胸水の性状を検査して胸に溜まっている液体の原因を確認します。乳び胸では血液中のトリグリセリドの濃度よりも胸水中の方が高いことを確認します。乳び胸の液体の色は白く濁っていることが多いです

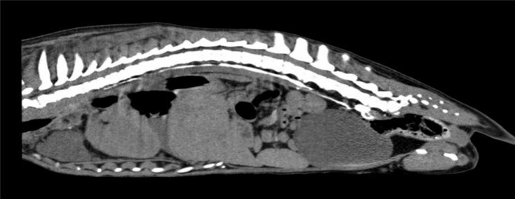
・CT 検査:CT 検査を実施する目的としては
・腫瘍や血栓など二次性乳び胸の原因となるものがないかの確認
・リンパ管造影を実施して胸管の走行や乳びが漏れている位置の確認
・手術計画の立案があり手術を実施する上で重要な検査となります。
リンパ管は通常の血管造影だと造影されないため、このように肉球に造影剤を入れてマッサージをすることでリンパ管造影を行います。
【治療】
内科治療と外科治療があります。
内科治療は低脂肪食やルチン等を使用しますが、治癒はまれです。
また内科治療でずっと治らずに経過が長くなると、肺や心臓の膜が炎症を起こし固くなる、線維性胸膜炎を起こしてしまい、胸水が無くなったとしても呼吸状態が改善しないことがあります。
外科治療は複数の処置を実施して治癒を目指します。
1,胸管結紮:胸管を糸でしばることによって乳びが胸に運ばれないようにします。
2,乳び槽切開:お腹の中にある乳び槽を切開して、乳びが胸に入らないようにします。
この処置によりお腹に乳びが溜まっていきますが、お腹の中は乳びを吸収する臓器が豊富にあるので問題になることはありません。
3,心膜切除:乳びによって固くなった心臓の膜を剥がして、リンパ液が血管に入りやすくします。
手術後は 1 週間ほど入院を行い、胸水がなくなるかどうかの確認を行います。場合によっては内科治療を併用することもあります。
呼吸が苦しそう、乳び胸と診断されて困っているなどあればお気軽にご相談ください。
獣医師 小野和徳
参考文献 第 110 回日本獣医麻酔外科学会学術集会 乳び胸の基礎の基礎






