
治療例 CASES
犬の橈尺骨骨折について
2025年11月3日(月)
【概要】
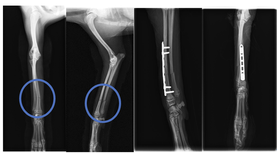
わんちゃんは年齢7か月のトイプードルの男の子です。
交通事故で前足をあげているとのことで来院しました。
レントゲンを撮影すると橈骨と尺骨に骨折を認めました(青丸)ので、3日後にプレートを用いた整復手術を実施しました。
術後の経過は良好で、10日後には前足を負重し歩けるようになりました。
手術後2ヶ月で骨の癒合は完了しました。
https://www.youtube.com/watch?v=MrJS5u37Exs
当院では岐阜大学の先生のご協力を頂きながら、骨折の治療を行っています。
当院の設備で対応可能な骨折かどうか、まずはご相談ください。
獣医師 小野和徳


